• На уроке мы делали Лабораторную работу,нам сказали дописать вывод дома,но почему то мне в голову ничего не пришло.На уроке мы смотрели на кожицу лука под микроскопом(фото внизу).Помогите пожалуйста!

    question img

Ответы 1

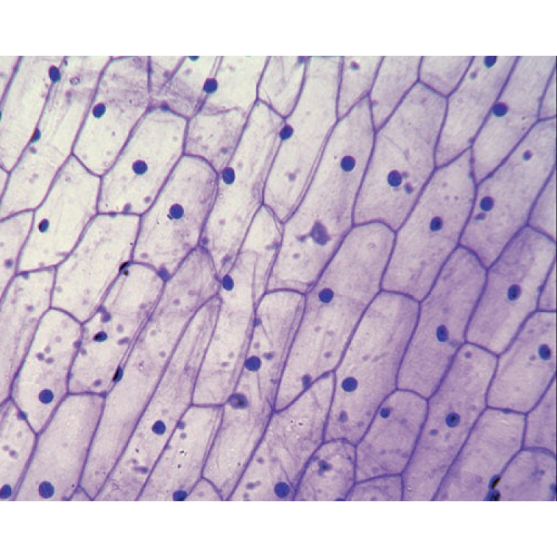
  • либо это   В 30-ые годы 19 века впервые была сформулирована клеточная теория, тезисы которой утверждали, что все живое на Земле состоит из клеток. В дальнейшем, теория получила подтверждение и повсеместное распространение. Клетка – это структурная единица организации, как растений, так и животных. И растительная клетка, и животная клетка, под микроскопом, имеют сходное строение. Обе покрыты тонкой пластичной цитоплазматической мембраной, находящейся в постоянном движении. Мембрана является барьером для желеобразного содержимого клетки – цитоплазмы, в ней, в большом количестве, расположены разнообразные органоиды. Клетка лука под микроскопом имеет плотную прозрачную оболочку, в которой местами есть более тонкие участки – поры. Обратите внимание на то, что за счет плотной клеточной стенки, окружающей мембрану, форма клетки лука, под микроскопом, выглядит более правильно. У животной клетки такие стенки, как правило, отсутствуют. В клетке лука под микроскопом хорошо видно ядро - другая важнейшая часть клетки. Благодаря материальному носителю наследуемой информации – ДНК, которая находится в ядре клетки, она растет и размножается. Итак, можно сказать: что цитоплазма, цитоплазматическая мембрана и ядро являются тремя важнейшими составляющими любой клетки. либо это как хочешь Клетки вытянутые, имеют крупное ядро, заполнены цитоплазмой-клеточным веществом и оганичены мембраной, Имеют одинаковое строение
  • Добавить свой ответ

Войти через Google

или

Забыли пароль?

У меня нет аккаунта, я хочу Зарегистрироваться

How much to ban the user?
1 hour 1 day 100 years