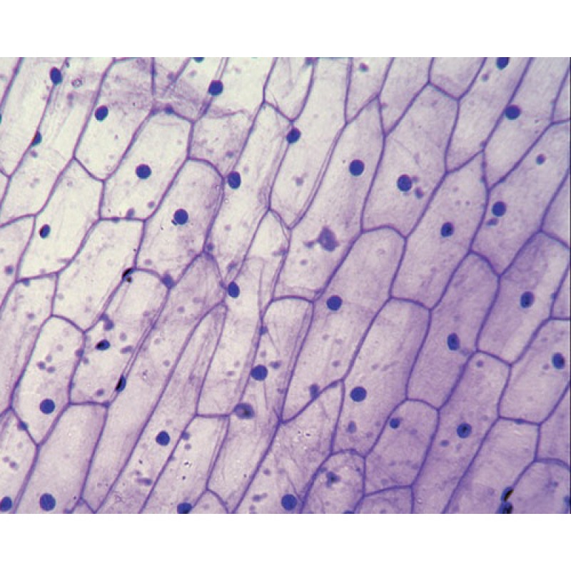
• Помогите с лабораторной работой.На уроке мы рассматривали кожицу лука.Мне нужно дописать вывод.Вот цель:на примере кожицы лука изучить строение растительной клетки.если что фото внизу.

    question img

Ответы 1

  • Живой растительный организм состоит из клеток. Содержимое клетки представлено полужидкой прозрачной цитоплазмой, в которой находятся более плотное ядро с ядрышком. Клеточная оболочка прозрачная, плотная, упругая, не даёт цитоплазме растекаться, придаёт ей определённую форму. Некоторые участки оболочки более тонкие – это поры, через них происходит связь между клетками.Таким образом, клетка – это единица строения растения.
  • Добавить свой ответ

Войти через Google

или

Забыли пароль?

У меня нет аккаунта, я хочу Зарегистрироваться

How much to ban the user?
1 hour 1 day 100 years